肺前体细胞移植治疗COPD II期临床首批受试者获益
发布时间:23/04/12日前,REGEND001细胞自体回输制剂移植治疗肺弥散功能障碍的慢性阻塞性肺疾病(COPD)Ⅱ期临床研究第一批受试者已完成治疗。左为教授在参加CGT Asia 2023第三届亚洲细胞与基因治疗创新峰会时,向与会嘉宾介绍了首批完成24周访视的受试者情况。

图1 左为教授分享最新研究成果
首批受试者分别在广州医科大学第一附属医院和中日友好医院接受李时悦团队和杨汀团队的治疗,24周访视结果显示,部分受试者主要肺功能指标较治疗前显著提升,咳嗽、咳痰、气喘等临床表现也明显改善。以上结果与早期开展的COPD备案临床试验结果趋势一致,接受足量细胞治疗的患者甚至可达80-100%的治疗完全响应率(CR)。广州医科大学第一附属医院广州呼吸疾病研究所呼吸内科主任、中国康复医学会慢病康复专业委员会副主任委员李时悦教授表示,“从逆转慢阻肺病的病理生理机制角度来看,特别是对于中晚期的慢阻肺病患者,再生医学能给患者带来希望了。”
前期研究已经证实,当肺实质受到损伤时,肺基底层细胞一方面在支气管内大规模增殖分化为分泌细胞和纤毛细胞,另一方面从近段沿支气管迁移到肺实质,直接参与肺实质肺泡结构的修复和再生,显著改善肺换气功能障碍。弥散功能障碍的慢阻肺患者接受支气管基底层细胞治疗相较于传统药物、器官移植和非前体细胞治疗更具优势:1、细胞来源更容易获取且移植操作简单;2、无伦理问题、无成瘤风险、无免疫排斥和炎症因子风暴等问题;3、具有可塑性,具备再生修复肺组织的强大功能。李教授表示:“基底层细胞移植用于慢阻肺病治疗的研究,在国内推进的速度相对较快,中国处于先进地位。”对于慢阻肺的治疗有良好的临床应用前景。

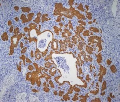
图2 支气管基底层细胞在人肺损伤区域增殖
除此之外,该方法目前安全性良好,迄今100+例不同适应症的患者临床观察均未出现与产品相关的严重不良事件。尽管试验正在进行中,但从已有个案来看,该疗法对患者肺脏结构和功能有明确的修复效果,对于治疗有肺脏组织损伤、结构损毁的疾病存在潜在优势。REGEND001细胞自体回输制剂移植治疗肺弥散功能障碍的慢性阻塞性肺疾病(COPD)Ⅱ期临床试验将为慢阻肺患者带来新的机会。如果您患有慢阻肺并且愿意参加临床试验,欢迎拨打咨询热线:13651613710 或者扫描下方二维码进行信息登记。


